首页
关于我们
我们的使命
诊所简介
我们的团队
诊疗项目
预防
补牙
根管治疗
拔牙
隐适美
矫正
种植牙
牙齿美容
牙冠&烤瓷桥
假牙
牙科急诊
儿童牙科
学生保险
照片
办公图片
治疗前后对比
博客
联系我们
English
CONTACT US
CONTACT US
Gallery–Chinese
Home
Gallery--Chinese
Gallery–Chinese
植牙
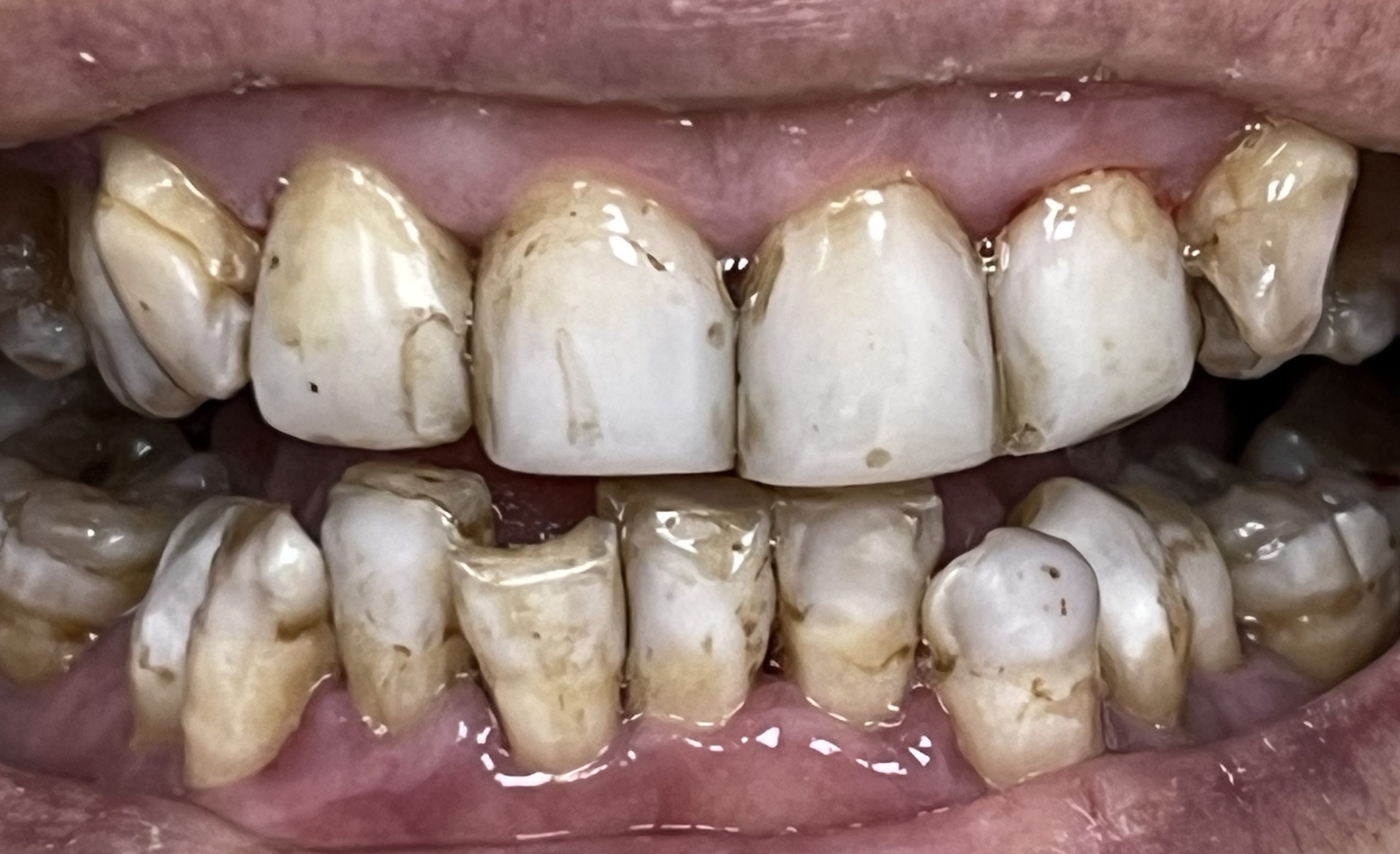
之前
之后
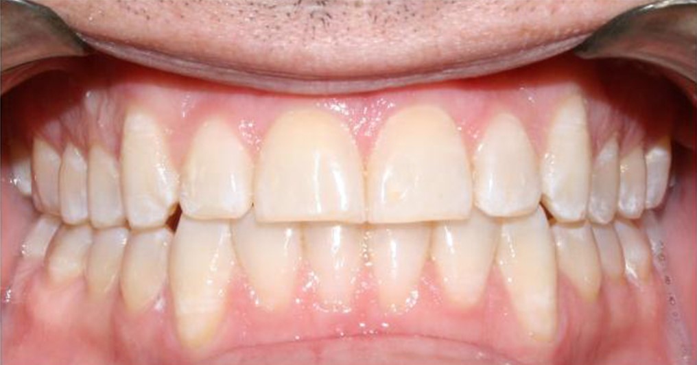
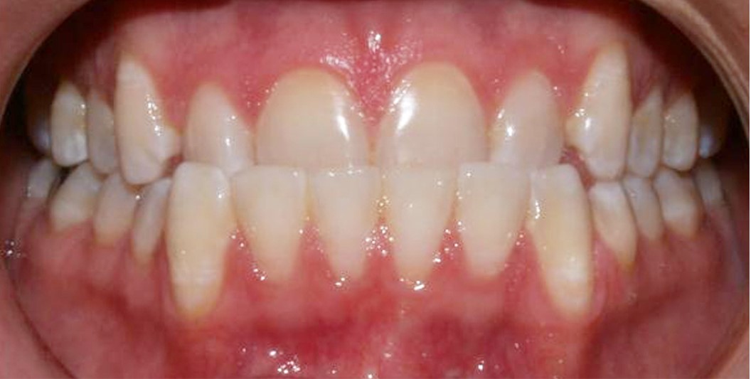
矫正
之前
之后
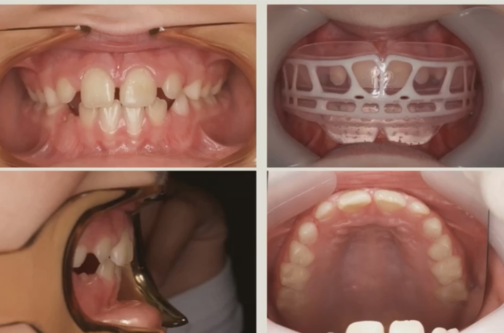
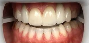
隐形矫正
之前
之后
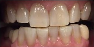
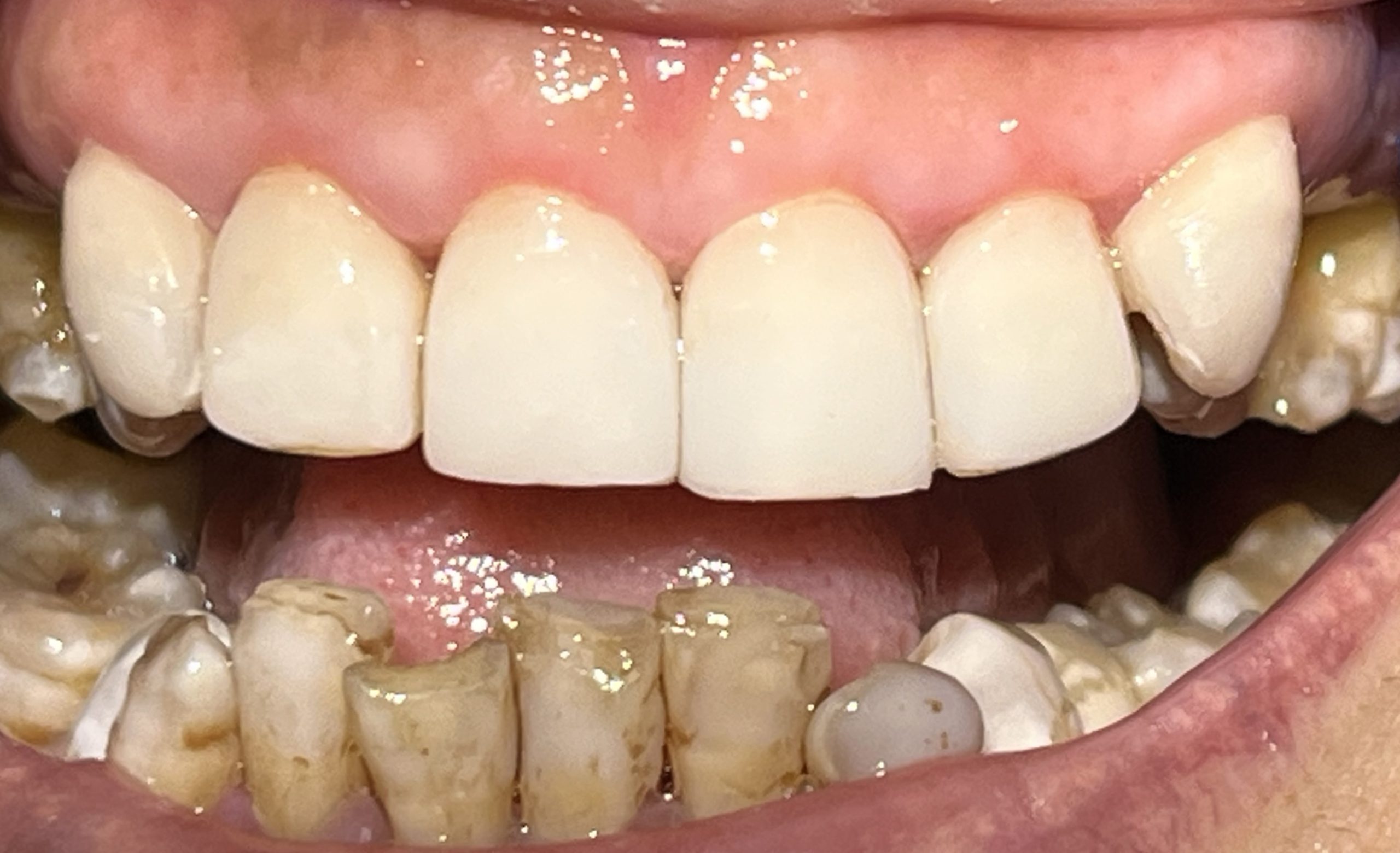
美学修复
之前
之后
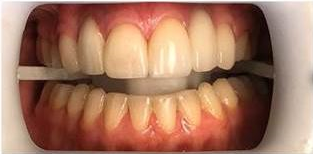
牙齿美白
之前
之后
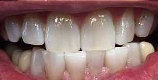
之前
之后
Search for:
Search
首页
关于我们
我们的使命
诊所简介
我们的团队
诊疗项目
预防
补牙
根管治疗
拔牙
隐适美
矫正
种植牙
牙齿美容
牙冠&烤瓷桥
假牙
牙科急诊
儿童牙科
学生保险
照片
办公图片
治疗前后对比
博客
联系我们
English